近日,我院神经内科副主任杨丰兵带领的神经介入团队成功为一名87岁高龄患者王某实施右侧颈动脉支架置入术。患者术后恢复良好,无任何神经功能缺损,标志着我院在治疗高龄、高危、复杂颈动脉狭窄方面取得了新的突破。此例手术不仅是一次技术的成功,更是改善高龄患者生存质量、预防致残性脑卒中的积极实践。
患者王老虽已87岁高龄,且身患高血压、2型糖尿病、冠心病(曾接受冠脉支架植入)等多种基础疾病,但平日生活尚能自理。然而,一次常规检查却发现了隐藏的风险:颈动脉彩超显示其右侧颈内动脉起始部存在重度狭窄,狭窄率高达约87%。这意味着向大脑供血的主要“管道”即将堵塞,脑梗死(中风)风险极高。
令人警惕的是,患者此前并未出现明显的肢体无力、言语不清等中风先兆,属于“无症状性重度颈动脉狭窄”。这类情况如同大脑里埋下了一颗“沉默的定时炸弹”,一旦斑块脱落或血管完全闭塞,可能导致灾难性的偏瘫、失语甚至死亡,严重损害患者的生存质量与尊严。
面对如此高龄且合并多种疾病的患者,手术决策需极为审慎。杨丰兵副主任医师团队组织了多学科评估,详细分析了手术的必要性与风险。根据《中国颈动脉狭窄介入治疗指导规范》,患者具有明确的手术指征。团队与患者及家属进行了充分沟通,详细解释了手术可能带来的获益(预防卒中)与风险(如术中斑块脱落、术后高灌注等),家属在理解后积极要求手术治疗。

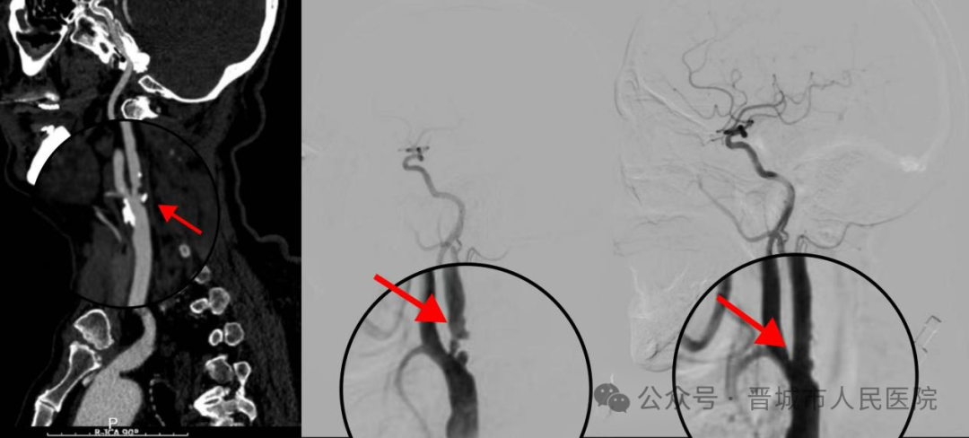
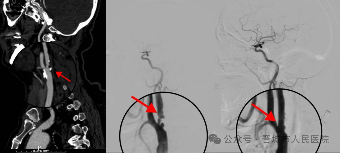
(图一是介入手术前的头颈部CTA影像,箭头所指处为狭窄部位;图二是手术前DSA影像;图三是支架术后DSA影像,血管狭窄明显改善)
经过周密的术前准备,包括双重抗血小板(阿司匹林、氯吡格雷)及他汀类药物治疗,手术于今日在局部麻醉下进行。术中,杨丰兵主任凭借精湛的技术,成功将一枚支架精准植入右侧颈内动脉狭窄处,瞬间重建了血流通路。整个手术仅耗时约1小时20分钟,患者全程清醒,无不适反应。术后造影显示血管狭窄解除,血流通畅。
此次手术的成功实施,具有多重意义。首先,它证明了对于经过严格评估的高龄患者,微创介入治疗依然是安全可行的选择,突破了传统观念中的“年龄禁区”。其次,手术有效解除了患者脑中风的重大隐患,从“治已病”转向“治未病”,其核心目标是保障和提升患者的生活质量。

“对于高龄患者,医疗的目标不仅仅是延长寿命,更是要保障其生活自理能力和尊严。”杨丰兵主任表示,“预防一次致命或致残性的中风,意味着患者可以避免瘫痪在床,能够继续行走、交流,享受家庭生活,这本身就是对生存质量最大的改善。”
随着社会老龄化加剧,类似王老这样的病例将越来越多。本例手术的成功,为治疗高龄复杂颈动脉狭窄积累了宝贵经验,也彰显了现代医学通过精准、微创技术,助力老年人群实现健康老龄化、提升晚年生活品质的决心与能力。
目前,王老先生正在病房平稳恢复,不日即可出院,回归正常家庭生活。
据悉,当天我院神经内科介入团队不仅成功为王老先生完成手术,还顺利开展了6例常规手术及1例急诊介入取栓术,实现了诊疗“质”与“量”的双重突破。未来,医院将继续深耕精准微创医疗技术,为更多老年患者筑起健康屏障,让他们都能在岁月里安稳前行,安享幸福晚年。
版权所有:晋城市人民医院
地址:晋城市城区白水东街1666号
ICP证:晋ICP备12005875号-1 晋卫网审[2014]第0007号
技术支持:晋城市云祥大数据科技运营有限公司
扫一扫关注我们