近日,晋城市人民医院泌尿外科冯中文主任团队(韩海松副主任医师、任健主治医师)成功为一名64岁女性患者实施机器人辅助下肾部分切除术,精准切除直径近十公分的巨大肾肿瘤,同时完整保留肾脏功能。此次手术的成功,标志着该院在复杂肾肿物微创治疗领域再获突破,区域泌尿外科微创技术水平迈上新台阶。




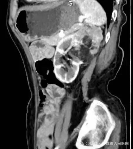
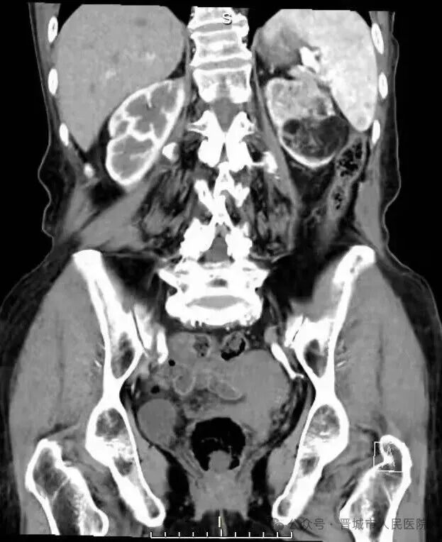
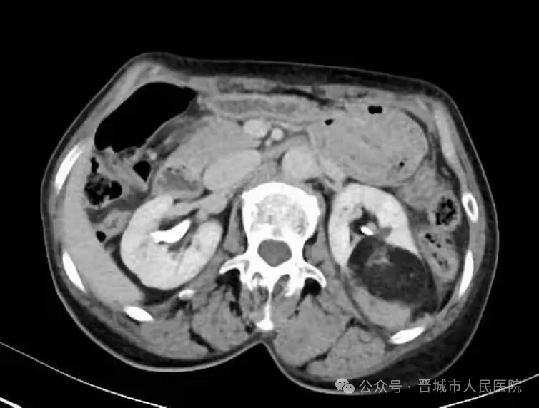
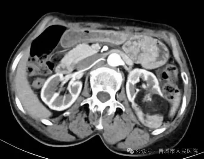
据了解,患者因体检发现左肾占位20余天入院,外院检查提示左肾肿物大小约45*55*98mm,接近十公分的肿瘤体积给治疗带来了极大挑战。更为棘手的是,患者年事已高,体质薄弱且营养状况欠佳,腹壁肌肉薄弱导致手术戳卡固定困难,传统腹腔镜手术操作空间受限、难度极高,而患者及家属保肾意愿十分强烈。
针对这一复杂病例,冯中文主任团队经过反复研讨评估,结合患者个体情况,最终确定采用“精锋医疗”机器人手术系统开展辅助腹腔镜下肾部分切除术。作为国产高端医疗装备的代表,精锋医疗手术机器人凭借核心技术优势,为高难度手术提供了有力支撑。

手术过程中,机器人系统的多自由度机械臂展现出独特优势,可灵活模拟人手动作,突破传统腹腔镜的操作角度限制,在狭小的术野内实现精细分离与操作。配合高清3D视野系统,术者能清晰辨识肾脏血管与肿瘤边界,精准把控手术节奏,有效规避血管损伤风险,为肿瘤完整切除和肾脏功能保留奠定了基础。
规范的团队协作是手术成功的重要保障。手术团队采用标准化协作模式,麻醉科提前做好患者生命体征监测与麻醉准备,器械护士与巡回护士严格执行双人器械核对制度,冯中文主任通过控制台精准操控机器人,助手医师同步配合腹腔镜辅助与应急处理,术中实时影像传输系统确保各方随时掌握患者状态,整个手术流程有序高效。

术前,团队还组织多学科病例讨论,针对肿瘤位置深、血供丰富的特点,量身制定个性化手术方案,充分预判术中可能出现的风险并制定应对策略,将微创技术与精准医疗理念深度融合。
冯中文主任表示,机器人辅助技术为复杂肾肿瘤治疗提供了新的解决方案,其精准性和灵活性有助于降低手术创伤,更好地满足患者保肾需求。未来,科室团队将持续探索前沿医疗技术的临床应用,不断提升复杂泌尿外科疾病的诊疗水平,为区域群众提供更优质、安全的医疗服务。
版权所有:晋城市人民医院
地址:晋城市城区白水东街1666号
ICP证:晋ICP备12005875号-1 晋卫网审[2014]第0007号
技术支持:晋城市云祥大数据科技运营有限公司
扫一扫关注我们