您现在的位置是: 首页 > 医疗服务 > 医疗动态

我院成功救治一名先天性主动脉窦瘤破裂患者

发布时间:2024-12-25 19:05:00

近日,我院心胸外科心脏大血管团队在王平凡教授、丁军教授的带领下,成功完成了我院首例急诊先天性主动脉窦瘤破裂修补术。此次手术面临着巨大的挑战,患者病情危急,情况十分紧迫。但团队凭借精湛的医术和丰富的经验,迅速制定了手术方案并果断实施,顺利为患者完成了主动脉窦破裂修补术。这一高难度手术的成功,不仅意味着患者重获生机,更标志着我院在心脏大血管疾病的急诊综合诊治方面实现了零的突破,开创了我院在此类疾病救治领域的新篇章,为后续处理类似危急病例积累了宝贵的经验和信心。
患者董先生的病情来得十分突然。一天前,他在大便时毫无征兆地出现胸痛,同时伴有胸闷、气短的症状。起初,他并未在意,但第二天早上,胸痛虽稍有缓解,胸闷憋气却愈发严重,这才赶忙来到我院门诊。经过心脏超声检查,确诊为先天性心脏病 —— 主动脉右冠窦瘤破裂,主动脉与右房之间存在分流,右室增大。医生听诊时,在他的胸骨右缘第 2 - 3 肋间听到了响亮、粗糙的双期杂音,还摸到了双期震颤,其他瓣膜听诊区未发现异常杂音。

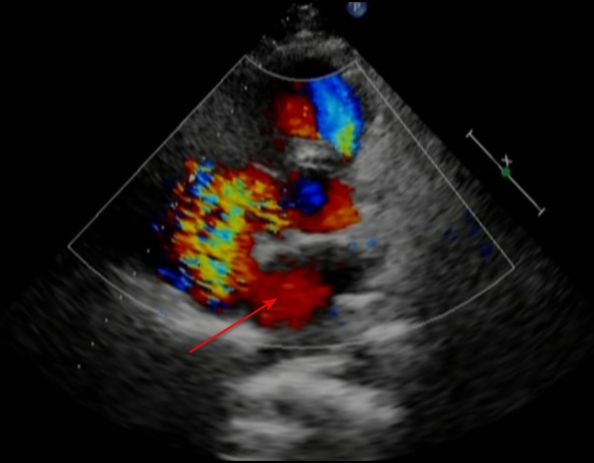
术前心脏超声:主动脉右冠窦菲薄,呈囊带样向右房膨出,随血流呈风袋样飘动,瘤壁可见破口约10mm。

由于情况危急,董先生入院后,我院立即启动紧急救治流程。心胸外科的医生迅速为他进行心电监护,并使用地高辛、氢氯噻嗪、螺内酯等药物强心利尿、营养心肌,同时用硝苯地平控制血压,还根据他的生命体征变化,适时使用西地兰、呋塞米来调节心率和利尿。病情紧急,医生们赶紧联系了王平凡院长。王院长凭借丰富的经验,给出了关键的指导意见,使得董先生的生命体征逐渐稳定下来,为手术争取到了宝贵的时机。

此次手术极具挑战性,患者术前因主动脉窦瘤破裂,导致右心衰竭、肝瘀血,术前B型钠尿肽指标高达1251.51pg/ml,丙氨酸氨基转移酶最高642.8U/L,天门冬氨酸氨基转移酶 285.0U/L。在整个手术过程中,手术室团队与重症监护室团队等多部门紧密协作,全力保障了手术的顺利进行。王平凡教授、丁军教授凭借丰富的经验和精湛的医术进行指导,心胸外科全体医护人员齐心协力,确保了每一个环节都精准无误。

术后的心脏超声显示,主动脉和肺动脉的内径恢复正常,主动脉无冠窦能看到补片的强回声,动脉水平的分流也消失了。患者恢复状况良好,现已康复出院。
这一成功案例不仅彰显了我院在心脏外科领域的卓越技术水平,也充分体现了多学科协作在复杂疾病治疗中的重要作用,为更多类似患者带来了健康的希望。

王平凡教授和丁军教授作为我院引进的学科带头人和技术骨干,他们的加入为我院心脏外科带来了新的活力和发展机遇。他们不仅带来了精湛的医术和丰富的临床经验,更带来了前沿的学术理念和创新思维。

未来,医院将持续加大在医疗人才培养和引进方面的力度。在人才引进方面,我们将进一步拓展渠道,积极引进具有国际视野和先进技术的专业人才。医院将与国内知名医学院校、医疗机构建立长期合作关系,通过联合培养、学术交流等方式吸引高层次人才加入。同时,将针对不同层次的人才需求,制定个性化的引进策略,对于经验丰富的学科领军人物,给予充足的资源和发展空间,让他们能够充分施展才华,带动整个学科的发展;对于青年优秀人才,我们将提供具有竞争力的薪酬待遇和良好的职业发展规划,鼓励他们在实践中快速成长。

科普知识

主动脉窦瘤破裂是一种罕见的心血管先天性畸形,多见于男性。这种病症通常是由于主动脉窦基底环上的主动脉壁局部发育不良,缺乏中层弹性组织,导致局部管壁薄弱,在高压血流冲击下逐渐膨出形成主动脉窦瘤。瘤体顶端最薄弱,最终可能被冲破 。
主动脉窦是主动脉根部的扩大部分,几乎完全位于心脏内。主动脉窦动脉瘤好发于右冠状动脉窦,且大多数破入右心室;其次为无冠状动脉窦,多破入右心房;较少发生于左冠状动脉窦 。
临床表现方面,主动脉窦动脉瘤破裂前一般无症状。破裂多发生在20~67岁之间,男性多见。约40%的患者有突发心前区疼痛史,常于剧烈活动时发生,随即出现心悸、气急,可迅速恶化至心力衰竭。多数患者发病缓慢,劳累后气急、心悸、乏力等逐渐加重,以致丧失活动能力 。
体格检查可能发现脉压增宽、水冲脉、毛细血管搏动征等周围血管征。心电图可能显示左心室肥大劳损或右心室肥大,有时呈双心室肥大。胸部X线检查可能显示心影增大,肺血增多 。这些检查有助于确定病情的严重程度和决定治疗方案。
由于主动脉窦瘤破裂的严重性,及时的诊断和治疗至关重要。如果您或您认识的人出现上述症状,应立即就医,以便及时得到适当的治疗。

版权所有:晋城市人民医院

地址:晋城市城区白水东街1666号

24小时咨询热线:0356-96559

jcsrmyyyb@126.com

048026

ICP证:晋ICP备12005875号-1 晋卫网审[2014]第0007号

技术支持:晋城市云祥大数据科技运营有限公司

扫一扫关注我们