
病例一:
患者李某某,女,74岁,于2024年11月4日急诊入院。此前,老人深受 “发作性胸闷” 困扰长达1年有余,此次病情更是急剧加重,持续6小时未得缓解。入院诊断明确为冠心病、急性广泛前壁、高侧壁心肌梗死。
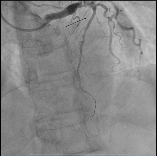
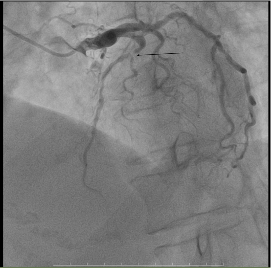
术前心电图呈现出与该病症相符的典型特征。入院后急诊冠脉造影显示,前降支近中段于第二对角支发出前后节段性病变,最重狭窄程度高达98%,情况危急万分。但我院介入团队凭借丰富的临床经验和娴熟的操作技术,顺利引导导丝通过病变部位,随即开展球囊扩张操作,而后精准植入一枚2.75*18mm支架。术后造影结果令人满意,患者的心肌供血状况得到显著改善,为后续康复奠定了坚实基础。

▲术前心电图

▲术前冠脉造影

▲术后冠脉造影
病例二:
患者王某某,男,60岁,在2024年11月6日因 “持续胸痛2小时” 紧急入院。入院诊断为冠心病、急性非ST段抬高型心肌梗死。
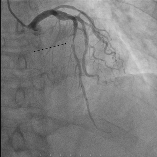
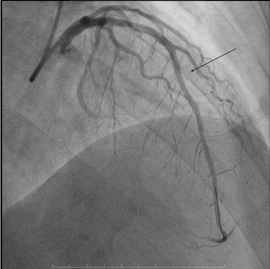
术前心电图同样反映出该病症的相关特征。入院后急诊冠脉造影发现,前降支近段存在50%局限性狭窄,中段节段性病变,且最重狭窄达到90%并可见明显的血栓影。为更精准把握血管内部情况,我院团队进一步行血管内超声检查,结果显示前降支中段可见纤维脂质斑块,最小管腔面积仅为2.11mm²,斑块负荷高达81.5%。面对如此复杂的病情,我院介入团队沉着冷静、有条不紊地开展救治工作,先进行球囊扩张,而后成功植入一枚3.0*30mm支架。术后再次通过血管内超声检查确认,支架贴壁、膨胀良好,最小管腔面积已提升至6.15mm²,手术结果十分满意,患者胸痛症状明显缓解。

▲术前心电图

▲术前冠脉造影

▲术前血管内超声

▲术后冠脉造影

▲术后血管内超声


版权所有:晋城市人民医院
地址:晋城市城区白水东街1666号
ICP证:晋ICP备12005875号-1 晋卫网审[2014]第0007号
技术支持:晋城市云祥大数据科技运营有限公司
扫一扫关注我们