“肚子不疼了,吃饭也香了,真是太感谢你们了!” 近日,在我院介入与血管外科病房,75 岁的张奶奶(化名)拉着医护人员的手,激动地分享着康复后的喜悦。谁能想到,就在不久前,一个如同排球大小的巨大肝囊肿,正严重影响着她的生活。

张奶奶发现肝囊肿已有15年,起初并无明显不适,便未过多在意。可近一个月来,她频繁出现腹痛症状,进食后腹胀感更是强烈,日常生活备受困扰,于是在家人陪同下前往我院介入与血管外科就诊。
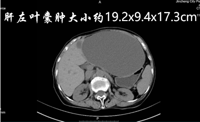
通过CT检查,医生发现张奶奶肝左叶的囊肿大小约19.2x9.4x17.3cm,足足有一个排球那么大。这个 “大水囊” 不断压迫着周围脏器,正是导致她腹痛、腹胀的根源。更棘手的是,张奶奶年事已高,免疫力偏低(检查显示白细胞计数、淋巴细胞绝对值均低于正常范围),且对传统开腹手术充满恐惧,手术意愿低。如何在保证安全的前提下,用最小的创伤为老人解除病痛,成为科室团队亟待解决的难题。
面对这一复杂情况,介入与血管外科主任张敬强第一时间组织团队展开研讨。考虑到患者的年龄、身体状况以及手术意愿,团队明确了 “以微创介入为核心,分阶段安全治疗” 的思路。副主任王丽云带领王交运、杨敏敏等医护人员,仔细分析患者的各项检查数据,反复推演治疗流程,最终敲定了 “先穿刺引流减压,再分阶段硬化治疗” 的个性化方案。
该方案不仅避开了传统开腹手术的大创伤,还能通过精准操作,有效降低感染、出血等风险。术前,医护人员耐心地向张奶奶及其家属详细讲解治疗方案、过程及预期效果,消除了他们的顾虑,家属顺利签署了知情同意书。
治疗过程中,介入的 “精准微创” 优势展现得淋漓尽致。
治疗第一步是穿刺引流减压。张奶奶取平卧位,医护人员对手术区域进行常规消毒铺巾后,用1%利多卡因进行局部麻醉。随后,在超声的实时引导下,将一次性8.5F PTCD引流管精准置入囊腔内,缓慢间断地引出囊液约2000ml,相当于4瓶矿泉水的量。引流结束后,张奶奶当即感觉腹痛、腹胀症状明显缓解,当天进食量就有所增加。
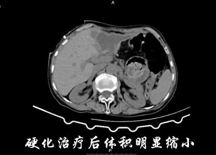
为彻底破坏囊肿囊壁,防止复发,团队并未急于求成,而是根据囊腔大小和张奶奶的耐受情况,分阶段进行硬化治疗。10月14日,首次在超声引导下进行酒精与聚桂醇联合硬化治疗,张奶奶没有出现明显不适。第二天张敬强主任医师查房时,她高兴地说:“吃饭香了,也不怎么疼了。”



10月15日下午,团队再次为张奶奶进行硬化治疗。医护人员先用生理盐水冲洗囊腔,再依次用无水酒精、聚桂醇原液反复冲洗,直到囊液变得清亮。经过四次规范治疗后,引流液仅剩下约10ml,最终成功为张奶奶拔除了引流管。
整个治疗过程中,张奶奶始终保持清醒,创伤仅仅是穿刺针留下的 “针眼大小” 创口。术后无需长时间卧床,当天就能进行轻微活动,极大地减轻了她的身体负担。
治疗结束后,张奶奶的恢复速度超出了预期。不仅腹痛、腹胀的症状彻底消失,进食量也恢复到了患病前的水平。复查结果显示,穿刺点没有出现感染、出血等并发症,身体各项指标逐渐趋于稳定。
此次巨大肝囊肿的成功治疗,不仅彰显了我院介入与血管外科在微创技术领域的扎实功底和丰富经验,更体现了科室 “以患者为中心” 的诊疗理念。面对高龄、手术意愿低的患者,团队通过多医师协作,制定个体化治疗方案,用更小的创伤、更短的恢复时间,切实为患者解决了病痛。
我院介入与血管外科介入超声门诊,一直致力于运用微创技术解决各类疑难病症,为患者带来福音。其诊疗项目涵盖多个领域:
如果您或您的家人正被上述相关疾病困扰,不妨联系我们咨询。
我院介入与血管外科团队将始终以精准的医疗技术、贴心的医疗服务,为每一位患者的健康保驾护航!
版权所有:晋城市人民医院
地址:晋城市城区白水东街1666号
ICP证:晋ICP备12005875号-1 晋卫网审[2014]第0007号
技术支持:晋城市云祥大数据科技运营有限公司
扫一扫关注我们