【 张曙光】
一口洁白健康的牙齿,是自信笑容的最佳名片。然而氟斑牙却可能让这份自信打上折扣。它并非疾病,而是一种在牙齿发育期因氟摄入过量导致的发育缺陷。今天,就让我们一起了解它、预防它,用科学守护每一颗牙齿的健康与美观。
一、认识氟斑牙:
当“保护者”变成了“破坏者”
氟是牙齿的“守护卫士”,能有效预防蛀牙。但当牙齿在发育期(主要是8岁前)长期摄入过量氟时,这位“卫士”就会过度工作,干扰牙釉质的正常形成,导致氟斑牙。
核心成因: 关键在于“发育期”与“过量氟”。常见原因包括:长期饮用高氟水(如某些地区的深井水)、儿童不当使用含氟牙膏(吞咽过多)等。
重要提示: 只有在牙齿钙化发育期,过量氟才会导致氟斑牙。恒牙萌出后,便不再受此影响,因此儿童期的科学管理至关重要。
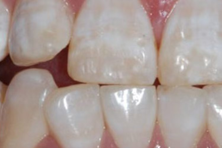
二、如何识别:
氟斑牙的三种“面容”
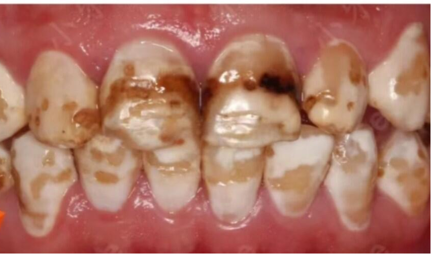
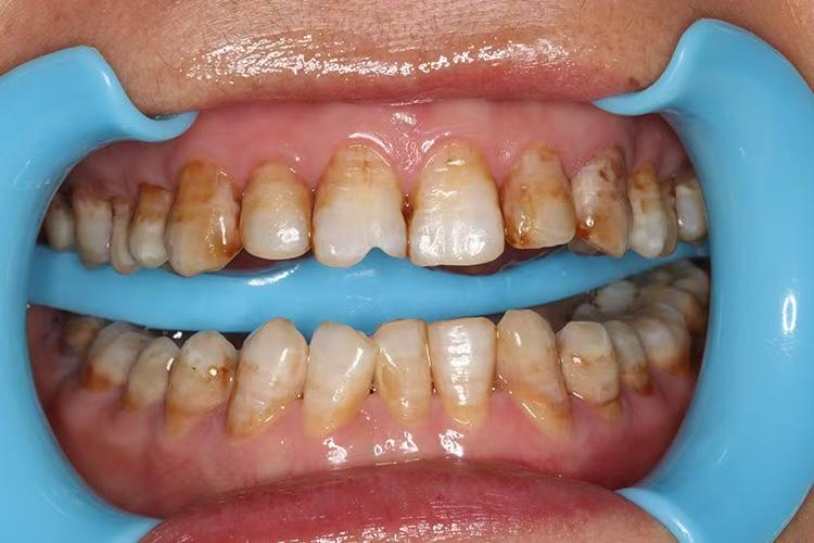
氟斑牙的影响程度不一,主要分为以下三种情况:
1.轻度(白垩型): 牙面上出现不透明的黄白相间的斑块或条纹,表面粗糙。

2.中度(着色型): 牙齿表面出现黄褐色或棕色的斑块,影响美观,但牙体形态没有明显缺损。

3.重度(缺损型): 除了严重的颜色改变,牙釉质还会出现凹凸不平的坑洼、缺损,甚至可能引发牙齿敏感。

三、科学预防:
为孩子守住牙齿健康的第一道防线
预防氟斑牙,核心在于儿童牙齿发育期的“科学控氟”。
1. 关注饮水安全: 在高氟地区,选择饮用低氟自来水或使用除氟净水器。
2. 正确使用含氟牙膏:
· 3岁以下:使用大米粒大小的儿童含氟牙膏。
· 3-6岁:使用绿豆大小的儿童含氟牙膏。
· 6岁以上:使用黄豆大小的儿童含氟牙膏。
· 家长需监督孩子刷牙,并教会他们吐出泡沫,避免吞咽。
3. 谨慎使用氟制剂: 在没有医生指导的情况下,不要随意为孩子使用含氟漱口水或其他氟补充剂。
四、改善方法:
让笑容重焕光彩
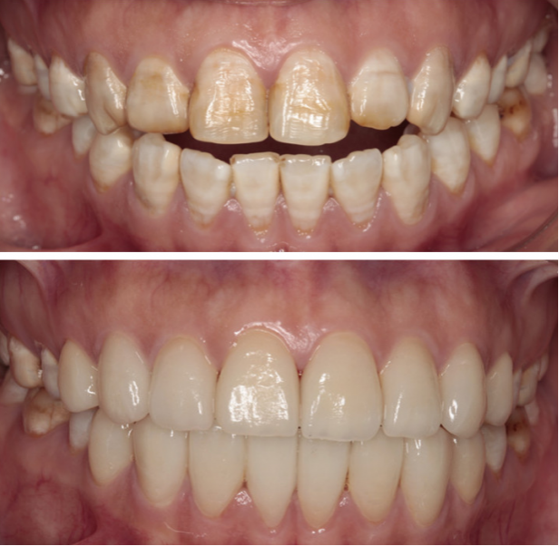
如果不幸已有氟斑牙,也无需焦虑。现代牙科医学提供了多种有效的改善方案。
1. 针对轻度氟斑牙:
· 牙齿美白(漂白): 通过药物美白,能有效淡化氟斑牙的颜色,改善轻中度的着色。
2. 针对中重度氟斑牙:
· 树脂渗透术: 一种微创技术,用透明树脂渗入多孔釉质,有效遮挡白垩色斑,效果自然。
· 牙齿贴面: 在牙齿表面粘贴一层薄薄的瓷或树脂贴面,能完美覆盖任何颜色的斑块和轻微缺损,效果显著。
· 全冠修复: 针对伴有严重釉质缺损的牙齿,通过制作牙冠来恢复形态和功能。

氟斑牙,重在预防,贵在早期干预。让我们从关注孩子的第一颗牙齿开始,用科学的理念为他们打好健康的基石。如果您或家人正受氟斑牙困扰,请记住,它并非无计可施。咨询专业的牙科医生,定能找到最适合您的解决方案,重拾灿烂笑。
版权所有:晋城市人民医院
地址:晋城市城区白水东街1666号
ICP证:晋ICP备12005875号-1 晋卫网审[2014]第0007号
技术支持:晋城市云祥大数据科技运营有限公司
扫一扫关注我们